お疲れ様です。
先日精査で紹介した施設さんからのお返事を整理していました。
地域柄か病理結果など丁寧に送っていただくことができます。ありがたいですね。
大体は良性なのですが、たまに「手術しました」との内容もあります。
今回は甲状腺の症例を書かせていただきます。

腹部痛を主訴に来院された方です。検査したけどなにもなく。
後日頸部も痛むということで、超音波検査がオーダーされた時の画像です。

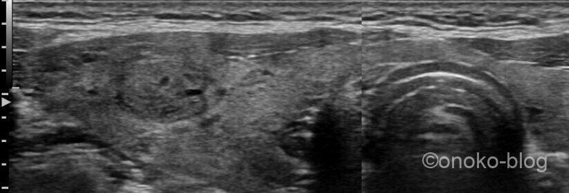
一部辺縁低エコー帯を伴う結節を右葉に認めます。
内部は無エコーや点状高エコーも確認できました。

内部に血流信号も確認できます。
内部無エコーは腺腫様結節にみられるような spongiform pattern ではなさそう…
甲状腺超音波診断ガイドブックに則ると、良性と考えられるのか…でも
うーんなんとなく境界がはっきりしない…撮り方のせいかもしれないけれど、
明らか典型像には見えないのよね…と思い、その旨をレポートに記載。
結果は髄様癌でした。
甲状腺髄様癌っていろんなパターンがあると勉強しましたが、本当に色々なんですね~
この症例、しっかり上極側にある!って感じでもなかったんですよね。
今年開催された、日超検学会の教育講演では「髄様癌は上極1/3にある」と仰っていました。
講演内では腺腫様甲状腺腫との比較に小嚢胞多発型乳頭癌を挙げられていましたが、見分け方として『辺縁』を見ることがポイントとおっしゃっていました。
腺腫様甲状腺腫は『ひとつの結節の中にのう胞が多発している』そうです。
なるほど…!そのことに着目してもう一度確認しましょう。

うーん…難しいですね!(諦)
点状高エコーも明らか中央に認めるという感じではないですし…そもそもそんなに点状高エコーが見えないですし(2枚目の画像にちょっとだけ?)…
(点状高エコーに関してはこちらの記事でも書かせていただいています。ご興味があればご覧になって下さい。)
今回の症例は spongiform pattern のように見えるからといって、すぐ腺腫様結節・腺腫様甲状腺腫と決めつけてはいけないなと改めて感じた症例でした。
超音波検査士試験でも、ええこれ微妙…という画像問題が出題されるので、頭の中に引き出しを沢山作っておきましょうね!
今回の症例が皆様のお役に立てれば幸いです。
【免責事項】
本記事は、超音波検査士認定試験の学習・教育を目的として執筆しています。
医療上の診断・治療を代替するものではなく、記載内容の正確性や完全性を保証するものではありません。
実際の医療行為や健康状態に関する判断は、必ず医師や専門家にご相談ください。
本サイトの情報を利用することで生じた損害やトラブルについて、当方は一切の責任を負いかねます。


コメント