ある日、診療放射線技師さんからこんなことを聞かれました。
診療放射線技師さん:「マンモグラフィで集簇性石灰化のある方が今日造影MRI検査を受けられたんですが、結果が悩ましくて…先生に聞こうと思っています。エコーでは何かありましたか?」
私:「おお、そんなことが!(調べて)えーと後輩①さんがエコーしてるけど…これといった画像は残してないですね…。」
後輩②「後輩①はエコーで何もなかったって言ってましたよ」
診療放射線技師さん:「あ、そうなんですねー」
私:「(え、マンモでこんなに石灰化が見えるのに…?)本人に聞いてみますね!」
多分、見逃してるなぁ…どうしよう先生に再検査をお願いしようかなぁ…
でも「次はないんです…!」って、他施設の技師さんに叱ったっておっしゃってたしなあ…
いや、でも教育不足はしっかり伝えてお詫びして、もう一度検査させていただこうと決意。
マンモでこの位しっかり石灰化が見えるなら、エコーでも見える!という事を
自分の目で確認したかったという気持ちもありました。
先生に事情を説明して、「機器の性能とかで見えないこともありますよー」なんてフォローをいただきましたが、申し訳ないのですがもう一度エコー検査させていただけないでしょうか?とお願いし、患者様の了承を得て検査させていただきました。
さてさて、と検査をすすめていると…

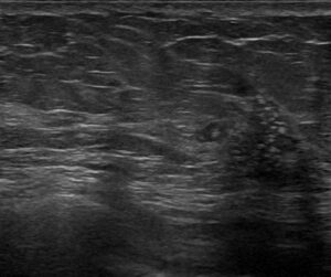
しっかり見えるぅぅぅーーー

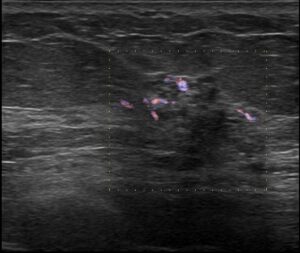
血流シグナルも認めます

エラストグラフィーの歪み低下も確認できます。
点状高エコー+低エコー域+小嚢胞が確認出来て、
血流シグナルとエラストグラフィーの歪み低下が見えるから
DCIS以上と考えて…
乳癌か?と考えたら、低エコーの具合がそんなに黒くない(もっと低エコーが私の乳癌のイメージです。あくまで私のイメージ)からDCISかなぁ…なんて思いつつ
やっぱエコーで分かるんだという気持ちと、後輩さん見逃してしまったか…という気持ち
複雑です。
すぐさま医師にご報告してエコー画像を見ていただきました。
先生は「これはわかりづらいよねー」なんてまたまたお優しいフォローをいただきましたが、
心は全く落ち着かず(´;ω;`)
平謝りと、教育の改善を申し上げました。
次は後輩①さんへのフィードバックです。
見逃すのは結構ショックだよなぁ…なんて伝えようなんて少し悩んだのですが
正直に伝えました。
今回見逃してしまった要因を話し合うと、
- 病変が左乳房の外側、末梢に存在していた
- 非腫瘤性病変に遭遇したのは初めてだった
- マンモグラフィから病変の位置を推測することが苦手だった
見落としやすい部位として、

引用元:超実践!乳房超音波マニュアル
水色の範囲と記載されています。
今回の症例はまさにその部位、左乳房外側末梢に存在していました。
私の経験上、乳腺の端っこに病変を認めたことは少なくありません。
観察しなければいけない範囲を再認識してもらいました。
マンモグラフィに関しては私が講習会などで学んだ内容をほんのり話し、診療放射線技師さんからも教えてもらうように伝えました。
経験値に関しては職場内での症例フォルダを作成し、時間があれば勉強できる環境を(今更ながら)整えたり。
結果、こちらの方はDCISと医師からご教示をいただきました。
以前何かの学会で仰っていましたが、
『自分が知ってるのは当たり前だと思っていたことが、学習者には知らなかったりする』という言葉、痛感しました…もう少し細かく教育しないと!と勉強になった症例でした。
そして自分、結構エコーできるようになったんだなぁとも。自画自賛です(笑)
最後までご覧いただきありがとうございました。
【免責事項】
本記事は、超音波検査士認定試験の学習・教育を目的として執筆しています。
医療上の診断・治療を代替するものではなく、記載内容の正確性や完全性を保証するものではありません。
実際の医療行為や健康状態に関する判断は、必ず医師や専門家にご相談ください。
本サイトの情報を利用することで生じた損害やトラブルについて、当方は一切の責任を負いかねます。


コメント