12月に入りせわしい日々が続いています…師走だなあと実感。
今回はクリニックで遭遇した症例を書かせていただきます。
※2025年ガイドライン第2版に基づき一部内容を更新しています
症例:80代女性 腹痛あり
先日医師から「腹部大動脈に異常はありませんか?」と腹部エコーのオーダーをいただきました。
スキャンしましたが歳相応の石灰化のみ。瘤や解離はなさそうなので一安心。
患者さん曰く「数日前からお腹が痛い」と。
「ここが痛いの」と指した場所はおへそのすぐ横です。
えー尿膜管遺残とか?今まで気づかれなかったなんてあるのかしら…とか。
いやいや思い込みはよくないよな、プローブ当ててみよう。

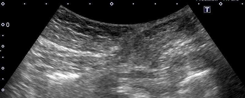
おや、皮下に何かが…

拡大してみました。うーん?

カラードプラで観察してみましたがのらず
高周波プローブで確認してみよう!と
腹部用の設定ではないのでわかりづらいですが、腸管と連続しているように認めます。


腸管が皮下に見えるってことはヘルニアかな、カラーものらないから嵌頓の可能性もあるかなと医師に報告。
大きな施設さんに紹介されて結果は「腹壁瘢痕ヘルニア」でした。
腹壁瘢痕ヘルニアは,以前の腹部手術の切開創から起こります。
(既往歴確認してなかったなーと後悔)
嵌頓はしていなかったとのことで経過観察するとお返事をいただきました。よかったです。
今回この症例を出した理由
今回こちらの症例を、しかも典型例ではない画像もしょっぱいものをシェアしようと思ったのは
こちらのエコー機25年前に製造されたものなのです。
実際に施設へ導入されたのは8年前位らしく、外見はきれいなんですけどね。
SMIがない等評価には限界がありましたが、この位の解像度でも鑑別は可能なんだなと実感しました。
嵌頓ヘルニアについて
もし嵌頓ヘルニアだった場合はどのような所見が認められるか、過去に参加した学術集会の内容をまとめてみました。
日超医ガイドラインの記載内容
日本超音波医学会から発足されたガイドライン【超音波検査の「パニック所見:緊急に対応すべき異常所見】では『速やかに対応すべき「準緊急所見」』として『蠕動の消失した腸管拡張』が記載されています。
考慮すべき要注意疾患/病態として絞扼性腸閉塞があげられ、原因のひとつとしてヘルニア嵌頓が記載されています。
急性腹症診療ガイドライン2025の記載内容
『腸管の閉塞症状を呈する病態において「腸管の機械的閉塞を伴う病態を腸閉塞症」と定義されいて、虚血を伴う疾患のひとつとして挙げられています。
※2026年追記
日本超音波医学会より「急性腹症診療ガイドライン2025 第2版」が公開されました。
急性腹症診療ガイドライン2025 第2版とは?
2015年の初版発行から10年ぶりとなる今回の改訂では、最新の科学的根拠に基づき、診断や初期対応の精度をさらに高める内容へと更新されました。特に、超音波検査の活用推進や、若手医療者の教育を目的としたシナリオ動画の導入など、実地臨床での利便性と教育効果を重視した工夫が凝らされています。
詳細は公式ページをご参照ください。
急性腹症診療ガイドライン2025 第2版
確認した限りでは腹壁瘢痕ヘルニアのエコー所見については書かれておらず、
- 病歴聴取(手術歴)
- 身体診察(視診)
について記載されていて、腹壁瘢痕ヘルニアは急性腹症(特に腸閉塞など)を引き起こす背景要因として、また視診で確認すべき重要な身体所見として位置づけられていました。
日超医と日超検はどう説明されているか
JSUM2025とJSS2025で腸閉塞について話されていました。
森貞浩先生は、小腸閉塞と大腸閉塞に分け、頻度の高い小腸閉塞においては、虚血の有無が重要であり、虚血を伴う嵌頓ヘルニアには緊急手術を考慮するべきと説明されています。
絞扼性(血流障害を伴う)腸閉塞を疑う間接所見としては、
- 拡張・非拡張の混在
- 内容沈殿(to and froの消失)
- 内膜剥離
- 拡張部壁の肥厚または菲薄化(ひだ消失)
- 腸管気腫
見つけた場合、虚血の有無確認でパルスドプラによる評価が推奨されています。
(造影超音波が良いが保険適応の問題があるとも)
手術または腸切除が必要となるカットオフ値として、RI(抵抗係数)の具体的な数値(癒着など要手術はRI0.79、要腸切除はRI0.85)が提示されていました。
畠先生は発症直後の段階で診断されているそうです。素晴らしい…!
- 緊満感がある(小腸の拡張)→蠕動が停止したことで残渣が重力方向へ沈殿
- 動きが悪い
- 患者さんがものすごく痛がっている・楽になる姿勢がない・嘔吐しても治まらない
- お腹を触ると柔らかい
上記のエコー所見・症状を認めた場合絞扼性を疑うと説明されていました。
症例を振り返ってみる
以上の内容からもう一度画像を確認してみると、
- 腸拡張は認めない
- パルスドプラはSMIが装備されていないので評価が難しい
- お腹は柔らかい
微妙ですが、「腸拡張がない」という時点で絞扼性ではないと判断して良かったのかなとも。
畠先生は「カラーがのる≒血流がある」とも仰っていたし…そして「腸閉塞は簡単」とも…まだまだ修行が足りないと痛感しました。
まとめ
JSSで森先生が紹介して下さった「急性腹症診療ガイドライン2025」拝見しましたが、
初版では急性腹症の初回のスクリーニング検査として超音波検査(エコー)を推奨していた
ということを恥ずかしながら初めて知りました…
この改訂は、初版の課題であったガイドラインの認知度の低さと、推奨されていたにも関わらず超音波検査(エコー)の実施率が低下していた点に対応するため実施されたそうです。エコーが急性腹症の最初の画像診断として再び明確に第一選択と強調され、具体的な走査法や習熟に必要な訓練目標が追記されており、頑張って習熟しないと!と改めて感じました。
エコー検査の領域は広いので、油断するとあっという間においていかれますね。
新しい情報を学び、臨床に落とし込むのは非常に重要です。エコー検査の可能性を楽しみながら今後も勉強していきましょうね!
引用:
- 「急性腹症診療ガイドライン2025」、ポイント学習動画など新たな試みも(Care Net)
- 日本超音波医学会第23回教育セッション 腹部エコーのパニック所見(2024年)
- 日本超音波検査学会第50回学術集会 シンポジウム腹部 急性腹症における消化管エコー(2025年)
- 日本超音波医学会第98回学術集会 シンポジウム 消化器3 腹痛を超音波で診る 2025(2025年)
- 日本超音波医学会第24回教育セッション ビギナーのための疾患アトラス消化管編(2025年)
【免責事項】
本記事は、超音波検査士認定試験の学習・教育を目的として執筆しています。
医療上の診断・治療を代替するものではなく、記載内容の正確性や完全性を保証するものではありません。
実際の医療行為や健康状態に関する判断は、必ず医師や専門家にご相談ください。
本サイトの情報を利用することで生じた損害やトラブルについて、当方は一切の責任を負いかねます。


コメント